Chest X-ray for Screening for Tuberculosis
Chest X-ray once in 3-5 years can help us identify subclinical or latent TB

Audio
Text
The Times of India on 19th May 2023, published a news report detailing the common causes of death in Mumbai, as captured by the Mumbai Municipal Corporation health department. They did not have accurate numbers for 2021, but the 2022 numbers showed that the biggest killer was heart attack (9470), followed by cancer (9145) and then tuberculosis (3281). Heart attack can mean many different things including heart failure, ventricular arrhythmias and the like and is a basket case for any heart related disease. Similarly there are so many different types of cancers that each individual cancer (lung, breast, colon, lymphoma, skin) would contribute not more than a 5th to a 10th of the total number of those 9145 deaths. It is also important to understand that just because someone has some cancer, does not mean that that cancer was necessarily the cause of someone’s death.
But a death due to tuberculosis (TB) is a death due to TB and in one sense then, TB is the single largest cause of deaths in Mumbai in 2022. It is worrisome and a scathing comment on the state of our public heath.
In 2021, the incidence (new diagnosed cases) of TB in India for that year, was 2.6 million cases, i.e. 188 per 100,000 population or 1.8 per 1000 people, i.e. around 1 in every 500 people. The prevalence (number of people living with TB) is probably more at around 312 per 100,000 people, which is around 1.5 to 2 per 500 people. In March 2023, the Indian Government challenged the WHO incidence rate of 210 / 100,000, saying it was 196/100.000, which is anyway still high. (As you can see the numbers vary depending on the agency reporting, but within a band of 180-320).
It is estimated that 40% of the population has latent TB, i.e they have been infected by TB, but may not be symptomatic. “In many high-burden settings, everyone is at risk of being infected, all the time, everywhere.” [1.]
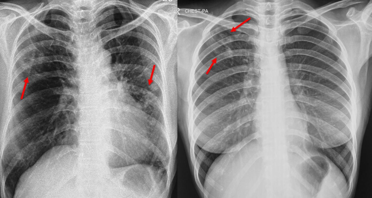
In the last two weeks alone, I have seen two patients, one an asymptomatic individual, who came for a CT chest just because they wanted to rule out anything abnormal and was found to have widespread active infectious TB in the lungs and the other, a young student going to the US who did a Mantoux skin test as a requirement of that University, which turned positive and the chest X-ray and subsequent CT scan showed an active focal pleural lesion. Both were asymptomatic people with active TB, but subclinical (without any symptoms or signs). Perhaps, a regular screening with Mantoux testing or a chest X-ray would have detected these findings earlier?
As we saw with Covid-19, screening for disease in an individual helps not just that individual but society at large as well. While screening for non-communicable diseases such as high blood pressure and high blood sugar helps mainly the individual concerned, screening for TB helps both, the general population and the individual.
There are many ways to screen for TB, especially in the asymptomatic population. The Mantoux test and sputum testing with PCR are two such. Another is the chest X-ray, a simple tool that is available ubiquitously across the country. While a chest X-ray also has false positives and negatives, the recent upsurge of artificial intelligence (AI) tools that help interpret them reasonably accurately has again led to a lot of interest when it comes to mass screening.
Even at an individual level, doing a chest X-ray once in 3-5 years, will help. If the X-ray shows findings suggestive of active TB, even if the sputum remains negative, there is a 26% or so chance that the sputum will become positive in the next 3 years [2]. People who are infectious but asymptomatic are also “spreaders” of TB.
In these settings it is likely that most cases of active tuberculosis occur due to progression of recently acquired infection, not reactivation of remote past infection (tuberculosis infection acquired many years previously). Finding and treating all, or nearly all, people with active pulmonary tuberculosis in any given location will not only protect all others at risk in those communities (including those at high risk) from acquiring tuberculosis infection and disease and, of course, benefit those people who are found and treated, but will also tip the balance towards the goal of tuberculosis elimination [1].
What does this mean for you and I? While there are no USPSTF like guidelines for the use of chest X-ray in the screening of TB in individuals (though there are WHO guidelines for mass screening), given the high burden of TB in India (at least one in 250 if not more) and therefore a reasonable chance of contracting TB in your lifetime, it is a good idea to check for TB by doing a chest X-ray, at least once in 3-5 years, as part of your annual health check-up.
Footnotes:
1. Marks GB et al. Epidemiological approach to ending tuberculosis in high-burden countries. Lancet. 2022 Nov 19;400(10365):1750-1752.
2. Sossen B et al. The natural history of untreated pulmonary tuberculosis in adults: a systematic review and meta-analysis. Lancet Respir Med. 2023 Apr;11(4):367-379.
Atmasvasth Newsletter
Join the newsletter to receive the latest updates in your inbox.
